
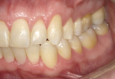
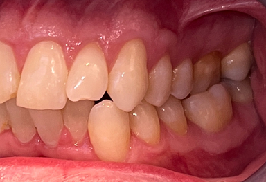
Smile Gallery
Every smile tells a story. Our smile gallery showcases real patient transformations completed at Holmes Dental. From subtle cosmetic improvements to full smile restorations, these results highlight the care, precision, and attention to detail our team brings to every treatment.

1000+ Clients
Praised by patients for creating comfortable visits and long-term relationships built on trust.
4.9
Associations and Memberships
Book your Appointment
Let’s Take Care of Your Smile
Booking your appointment is super easy! Our team is ready to help you out with anything you need. We'll get in touch to confirm your appointment, and don’t hesitate to contact us if you have any questions!
Schedule Your Visit







